第三课 显微镜法识别纤维
显微镜观察具有直观的特性,显微镜切片制作需要先制作纤维切片才能放到显微镜下观察判断,常采用哈式切片仪法、铝片穿孔法和封蜡浇铸法等方式。
一、哈式切片仪法
1.仪器、用具和试剂
采用哈式切片仪制作切片所采用的仪器、用具、试剂和材料为:哈式切片仪(如图2-3)、火棉胶溶液、双面刀片、显微镜等。


图2-3 哈式切片器与显微镜
2.哈式切片仪结构(如图2-4) 
图2-4哈式切片仪结构 1-左底板 2-侧支架 3-匀给螺钉 4-匀给器 5-匀给架 6-右底板 7-定位螺栓 |
3.切片制作步骤
(1)将匀给螺钉逆时针转动,使匀给器与右底板不接触。
(2)将定位螺钉轻轻拔起,使匀给器转动一定角度,以便将试样放入切片器的缝隙中。
(3)将左右底板拉开,把试样平行嵌入右底板的缝隙中,将左底板沿导槽推进,扣紧,夹紧试样,如图2-5。
 
图2-5哈式切片仪操作示意图 |
(4)在缝隙处将一小滴火棉胶溶液滴入试样,待胶液充分浸入并蒸发干后,用刀片切去露出试样。
(5)调节匀给螺钉,使试样露出底板,再在试样表面薄薄地涂上一层胶液。
(6)待胶液蒸发干后,用刀片将试样从底板切掉并弃之。
(7)用匀给螺钉控制切片厚度,用同样的方法相继切出第二、第三片试样。
二、铝板穿孔法
哈氏切片器可以切制较薄的切片,但是哈氏切片法切片技术较难掌握,成功率低,为避免纱线切片中纤维彼此分离脱散,需要两次使用火棉胶溶液胶合纱线内纤维,并待其自然蒸发干燥,费时费力。采用铝片穿孔夹持法制作显微镜浆纱切片,制作方法简便,易掌握,无需火棉胶液,制作时间短,三分钟即可完成,且一次制作两个纱切片,并且一块显微镜载板上可以同时存储多个切片,代表性强,操作简便,成功率高,缺点是切片较厚。
1.用具
铝片穿孔法制作纱线切片所用的用具、材料和试剂:铝板(厚约1mm上面钻有直径1.0mm的小孔)、综丝、刀片等。
2.试样制作的步骤
(1)将一束经纱合并弯成U形, 用对折的金属丝将经纱束弯折成V形,如图2-6,类似穿针引线的方法带过金属板的圆孔,如图2-7,注意要使得纱线束充分充满整个金属孔,即纱束通过金属孔时应该具有很大阻力,勉强通过为宜,这样大大增加了金属孔内壁对纱束的向心作用力,避免孔内纱束在刀片切割力作用下从孔中脱出。
(2)用锋利的刀片沿铝板的正反两表面切去外露的纱束,只留下小孔中的纱束切片。

图2-6 纱线和金属丝弯折示意 图2-7纱线和金属丝弯折示意
(3)将有纱束切片的载片板放到显微镜物镜下,采用十字校正法调整左右和
前后位置,使得载板中切片孔中心对准物镜中心,调节照明光源至视场明亮,镜头切换至100倍放大倍数,调节焦距至切片影响清晰,再切换至400倍放大倍数,细致观察。
三、封石蜡切片法
1.准备试验用具、试剂
石蜡(熔点58~60℃)、坩埚(容量150 毫升左右)、镊子、双面刀片、载玻片、吸水纸。
2.封蜡操作步骤
(1)浇蜡模:用0.5 mm 厚的不锈钢或铜皮制成,由如图2-8所示A、B两部分组成。
(2)石蜡准备:先将石蜡放在坩埚中加热,直到石蜡冒白烟为止,然后将其冷却凝固,使用时只要将其熔化即可。
(3)把试样纱一小束轻轻夹在模子上的细缝中,使其伸直。
(4) 将60℃液态石蜡注入模子,使其液面稍高于纱线。
(5) 待石蜡冷却凝固后,取出已有浆纱的蜡块,用刀片削去纱束四周石蜡。 (6)将上述纱束按横截面方向仔细地切下薄片(越薄越好),将薄片用镊子夹至载玻片上,在显微镜下进行观察。

图2-8浇蜡模型
四、显微镜下各种纤维形态特征
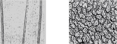
1.棉
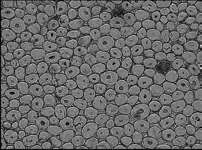
关键词:纵向呈扁平带状的天然卷曲、横截面耳形,有中腔。
棉纤维呈细长、不规则、卷曲状而且是扁平的管状,有凹陷坍塌的腰圆形或耳形空腔位于纤维中心,显微镜观察如图2-9。


图2-9(1)棉纤维纵向形态 图2-9(2)棉纤维横向形态
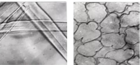
2.亚麻
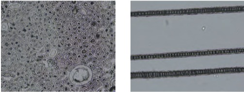
关键词:纵向有麻节,横向多边形
亚麻纤维横截面是多边形的,具有圆形的边缘,显示出大的空腔和相对薄的细胞壁,纵向有麻节,亚麻纤维显微镜下
亚麻纤维显微镜下观察的形态如图2-10。

图2-10(1)亚麻纤维纵向形态 图2-10(2)亚麻纤维横向形态
3.苎麻
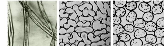
关键词:纤维较粗,有纵向条纹及竹状横节,横截面为腰圆形,有中腔。
苎麻纤维的横截面呈不规则椭圆形或扁圆形,亦有呈椭圆形或不规则形的中腔,截面上细胞壁比较厚,横截面上有时可见到辐射状的条纹;纤维纵向呈天然扭曲,表面有纹节、裂纹。显微镜下观察如图2-11。

4.羊毛
关键词:横向为圆形或椭圆形,表面有鳞片
羊毛是一种含有18种氨基酸的蛋白质纤维,纤维的横截面略呈椭圆形或圆形,显微镜下纤维形态如图2-12。

图2-12(1)羊毛纤维纵向形态 图2-12(2)羊毛纤维横向形态
5.马海毛与羊毛的形态差异辨析
关键词:似羊毛,鳞片不重叠
马海毛纤维的横截面为圆形,直径范围为10–90μm。
马海毛外观形态与绵羊毛相类似,但绵羊毛纤维的鳞片轮廓清晰,鳞片较厚,边缘翘角大,而马海毛的鳞片较薄、模糊不清,鳞片平阔,呈瓦状覆盖。紧贴于毛干,很少重叠,故纤维表面光滑,具有天然闪亮色泽,纤维很少弯曲。显微镜下马海毛纤维形态如图2-13
图2-13(1)马海毛纤维纵向形态 图2-13(2)马海毛纤维横向形态
6.羊绒与羊毛的形态差异辨析
关键词:纤维细,鳞片薄
羊毛和羊绒价值差异很大,如何识别服装中纤维是羊毛还是羊绒,是一个棘手难题,需要专业知识和细致、审慎态度。
羊绒纤维具有非常小的、几乎不突出的鳞片。羊绒纱线的表面鳞片度比羊毛薄,多 呈环状包覆在毛干上,而羊毛的鳞片较厚呈镶嵌状,且鳞片覆盖毛干的密度羊绒比羊毛小 ,因此造成了羊绒纤维与羊毛不同的手感,羊绒纤维手感滑爽,而羊毛相对手感比较粗糙. 通过扫描电子显微镜观察发现:羊毛末梢鳞片边缘厚度明显大于羊绒纤维,显微镜检测 主要根据鳞片长度之间的区别.通过观察得出一个结论:如果一种纤维的鳞片厚度大于 0.55μm,则应该认定为羊毛;而包括羊绒在内的特种动物纤维的鳞片厚,显微镜下观察羊绒纤维形态如图2-14。
图2-14(1)羊绒纤维纵向形态 图2-14(2)羊绒纤维横向形态
7.羊驼毛与其他毛形态差异辨析
关键词: 纵向鳞片细薄、横向圆形,髓质连续,有中腔
羊驼毛纤维横截面为圆形至椭圆形,髓质狭窄且连续大多由鳞片层、皮质层和髓质层组成。通过显微镜和细度仪观察鳞片呈环状或斜条状。羊驼毛的髓质层是贯通的,根据这一特点比较容易和其它特种动物区分开来。显微镜下观察羊驼毛纤维形态如图2-15。

图2-15(1)羊驼毛纤维纵向形态 图2-15(2)羊驼毛纤维横向形态
8.兔毛
关键词:髓腔多列,呈断续状和梯状
纵向形态:鳞片较小,与纤维纵向呈倾斜状,兔毛的鳞片呈“人”字形紧密排列,层层覆盖。横截面形态:圆形、近似圆形或不规则四边形,有髓腔。
兔毛基本上都有髓腔,只有少数细兔毛没有。髓腔呈断续状和梯状。随着兔毛粗细的不同,其髓腔有单列、双列、三列、四列,有的甚至可以达十列以上,而且纤维直径越粗,其髓腔的列数就越多。兔毛纤维这种独特的鳞片结构和其他几种特种动物纤维有比较明显的区别,因此最容易鉴别。
显微镜下观察兔毛纤维形态如图2-16。

图2-16(1)兔毛纤维纵向形态 图2-16(2)兔毛纤维横向形态
9.驼绒
关键词: 纵向鳞片少,边缘光、有色斑、横向圆形有色斑
驼绒纤维的纵截面形态:表面鳞片较少,呈不完全覆盖的线状斜条纹,边缘光滑,鳞片有光泽,紧贴于毛干,有髓腔,有色斑。驼绒纤维的横截面形态:圆形或近似圆形(有色斑),有髓腔。显微镜下形态如图2-17所示。

图2-17(1)驼绒纵向形态 图2-17(2)驼绒横向形态
10.牦牛绒
关键词:纵向鳞片细密,呈环状,横向近似圆形,有色斑。

图2-18(1)牦牛绒纵向形态 图2-18(2)牦牛绒横向形态
牦牛绒纤维的纵截面形态:牦牛绒鳞片细密,牦牛绒绒毛纤维鳞片呈环状,紧贴毛干色素呈点状,条干不均匀。牦牛绒纤维的横截面形态:椭圆形或近似圆形,有色斑。显微镜下形态如图2-18所示。
11.貉子毛
关键词:纵向粗细均匀,横向有间断性髓腔
貉子毛纤维纵截面形态:纤维粗细均匀,但纤维边缘凹凸不平,少部分有间断性髓腔。显微镜下形态如图2-19所示。

图2-19(1) 貉子毛纵向形态 图2-19(2)貉子毛横向形态
12.狐狸毛
关键词:纵向粗细均匀,横向有间断性髓腔

图2-20(1) 狐狸毛纵向形态 图2-20(2)狐狸毛横向形态
狐狸毛纤维的纵截面形态:环状形态,纤维粗细均匀,边缘光滑且整齐,鳞片细长,紧贴毛干,鳞片间距比貉子毛密。狐狸毛几乎都有髓腔,且髓腔比例占整个纤维的比例较大。狐狸毛纤维横截面形态:哑铃形和椭圆形。
13.蚕丝
关键词:纵向有光泽,横截面三角形
蚕丝是唯一的天然长丝纤维,纵向有光泽,横截面形态为三角形或多边形,边缘呈圆形,显微镜观察的形态如图2-21所示。

图2-21(1)蚕丝纵向形态 图2-21(2)蚕丝横向形态
14.黏胶纤维
关键词:截面锯齿形
纵面形态:表面平滑,有清晰条纹,横截面呈锯齿形。显微镜观察的形态如图2-22所示。

图2-22(1)黏胶纤维纵向形态 图2-22(2)黏胶纤维横向形态
15.聚酯(涤纶)纤维
关键词:玻璃棒形
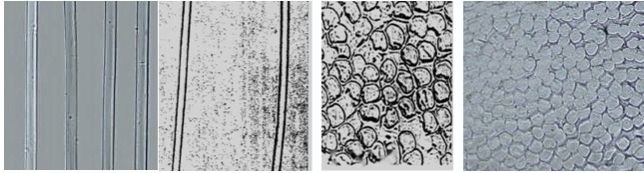
聚酯(涤纶)常见纵向为圆柱形,似玻璃棒,有的有小黑点。表面光滑,截面圆形,纵面形态:如图2-23。聚酯纤维也可能有截面异型的形状。如三角形、星型、中空等。

图2-23(1)聚酯纤维纵向形态 图2-23(2)聚酯纤维横向形态
16.锦纶纤维
关键词:玻璃棒形
纵向形态:表面光滑,有小黑点。横截面形态:圆形或近似圆形及各种异形截面,如图2-24。

图2-24(1)锦纶纤维纵向形态 图2-24(2)锦纶纤维横向形态
17.腈纶纤维
关键词:截面呈哑铃状
腈纶纤维纵向平滑,有1-2根沟槽或条纹,干法纺丝横截面呈哑铃型,湿法纺丝接近圆形到豆形,再到稍具细齿。显微镜下典型形状见图2-25。

图2-25(1)腈纶纤维纵向形态 图2-25(2)腈纶纤维横向形态
18.莱赛尔(天丝)纤维
关键词:横截面近似土豆圆形、纵向光滑有光泽。
莱赛尔纤维的纵向条干更为立体、厚实,部分纤维表面有细小刻痕,显微镜下形态如图2-26。

图2-26(1)莱赛尔纵向形态 图2-26(2)莱赛尔横向形态
19.莫代尔纤维
关键词:纵向表面光滑、表面有色点,有1-2条沟槽,横截面为哑铃形,石块形。显微镜下形态如图2-27。

图2-27(1)莫代尔纵向形态 图2-27(2)莫代尔横向形态
20.竹纤维
关键词:形似竹子,有中腔
纵向形态纤维粗细不匀,有长形条纹及竹节状横节,横截面形态:有中腔,腰圆形,多边形。显微镜下形态如图2-28。

图2-28(1)竹纤维纵向形态 图2-28(2)竹纤维横向形态
21.铜氨纤维与来赛尔纤维的辨析
关键词:纵向细腻、柔和,横截面多边形近似圆形
铜氨纤维的横向截面形态与莱赛尔几乎相同,故二者形态比较难区分,莱赛尔纤维的纵向条干更为立体、厚实,部分纤维表面有细小刻痕,铜氨纤维的纵向条干更为细腻、柔和,一般没有刻痕。显微镜下形态如图2-29。

图2-29(1)铜氨纤维纵向形态 图2-29(2)铜氨纤维横向形态
22.氨纶
关键词:纵向形态:表面平滑,有些呈骨形条纹。横截面形态:圆形或近似圆形。显微镜下纵向形态如图2-30。

图2-30氨纶纵向形态
23.醋酯纤维
关键词:纵向表面有条纹,横向有凹凸纹。如图2-31。

图2-31(1)醋酯纤维纵向形态 图2-31(2)醋酯纤维横向形态